はじめに
前回のコラムでは、成長期の「投球障害肩」についてお伝えしました。

実は、肩と同じように多く見られるのが「投球障害肘(野球肘)」です。
成長期の肘の痛みは、早く気づき、正しく対応すれば重症化を防ぐことができるケースが多いということです。
「最近、肘を気にしている」
「投げた後に、肘を押さえるようになった」と感じたら、
まずはこちらを確認してください。
今すぐ受診を考えてほしいサイン
次のうち1つでも当てはまれば、様子見せず医療機関へ相談してください。
- 肘が最後まで伸びない
- 投げなくても肘が痛い
- 押すと強い痛みがある
- 痛みが1週間以上続いている
※受診先は「スポーツ整形(スポーツのケガを診ている整形外科)」が理想です。
家庭でできること
- 痛みがある間は投げさせない
- 練習・試合は一度休ませる
- 翌日も痛みが残る場合は受診
放置するリスク
痛みがある中我慢して投げ続けることで 長期間投げられなくなったり、手術が必要になることがあります。
(特に肘の外側のトラブルは注意が必要です)
予防の基本
投げすぎを避ける
- 小学生:1日 50球以内 / 週 200球以内
- 中学生:1日 70球以内 / 週 350球以内
- 高校生:1日 100球以内 / 週 500球以内
- 小学生:週 3日以内 / 1日 2時間以内
- 中学生、高校生:週 1日以上の休養日を必ず確保
※投げすぎを防ぐ目安
※この目安を超えると、肘のケガのリスクが高まるとされています。
日本臨床スポーツ医学会「青少年の野球障害に対する提言」
肘だけでなく、肩・股関節・前腕のケアを行う
成長期の投球障害肘とは?
ここから先は、「野球肘とは何か」「なぜ起こるのか」を分かりやすく解説していきます。
野球肘とは、投球動作をくり返すことで肘に負担がかかり、骨や軟骨、靭帯などを痛めてしまうケガの総称です。
成長期の子どもの肘には、まだ完成していない成長途中の骨があります。
そのため大人よりもダメージを受けやすく、同じように投げていてもケガにつながりやすいのが特徴です。
成長期に多い3つのタイプ
肘の内側のケガ(内側上顆障害)

肘の内側の出っ張った部分にある成長軟骨が傷つく状態です。
- 最初は「投げた後だけ痛い」
- だんだん痛みが引かなくなる
という経過をたどることが多いです。
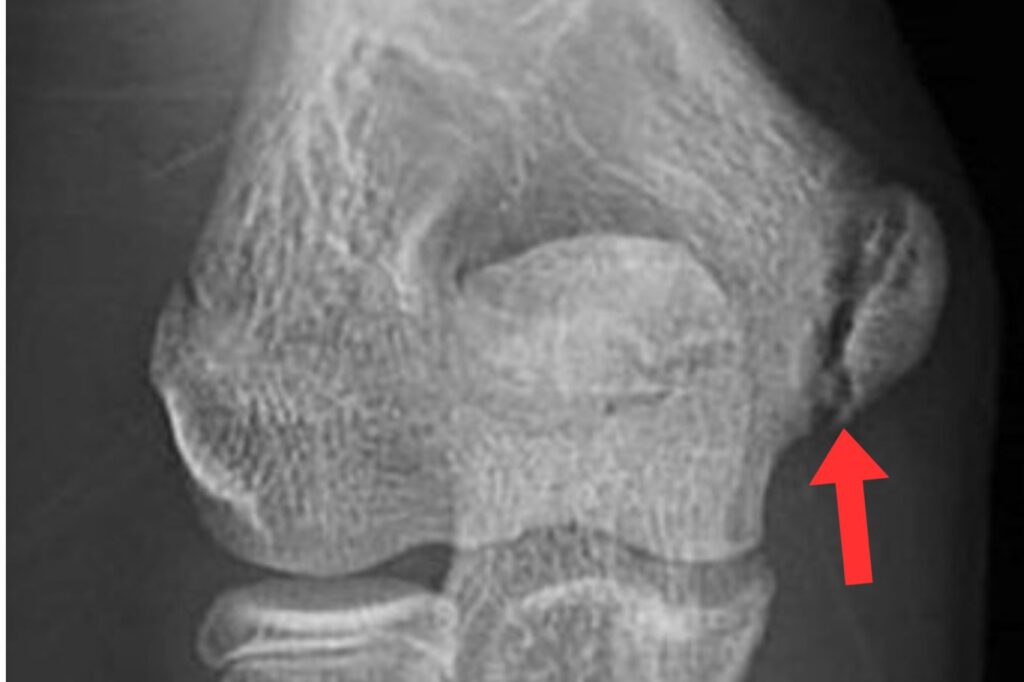
肘の外側のケガ(上腕骨小頭骨軟骨炎)

肘の外側の骨や軟骨が傷み、はがれてしまう状態です。
10代野球選手の[2〜4%]程度にみられるとされています。
初期は痛みが出にくく、
- 肘が伸びきらない
- 引っかかる感じがする
といった症状がサインになることもあります。
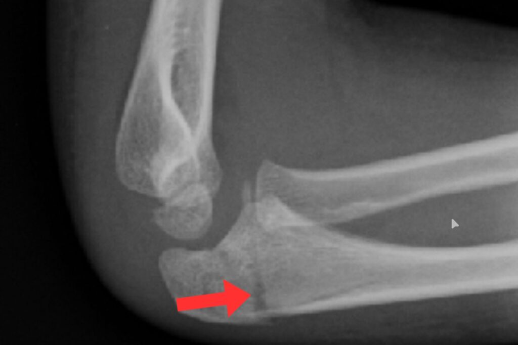
肘の後ろ側のケガ(肘頭骨端線損傷)

肘の後ろの骨端線が傷つく状態です。
- 投げた瞬間の後ろ側の痛み
- 肘が最後まで伸びない
といった症状が出ます。
発症しやすい年齢層とポジション
小学校高学年(10〜12歳)〜中学生(13〜15歳)に特に多く見られます。
また、以下のようなポジションに特に多く発症します。
- ピッチャー(投手):長時間にわたって繰り返し投球を行うため
- キャッチャー(捕手):投げる回数が多く、姿勢的にも負担が大きい
実際の現場でも、
小学6年生〜中学1年生で急に痛みを訴え始めるケースが非常に多い印象があります。
この時期は、身長が一気に伸びる子どもが多く、骨の成長に対して筋肉や腱の柔軟性が追いつかず、肘への負担が一気に増えやすい時期でもあります。
「急に球が速くなった」などと感じた直後に痛みが出る子も多く、成長とケガは紙一重だと感じています。
投球動作と肘にかかるストレス
投球障害肘は投球動作中の、腕を後ろに大きく引く場面から腕を振り抜いた場面で最も起こりやすいと考えられています。

内側のケガ
胸を大きく張る時から腕を弓矢のようにしならせる場面で肘関節に外側に広げようとする力が働き、肘の内側に強い引っ張られるストレスがかかります。
外側のケガ
内側と同様に肘関節に外側に広げようとする力が働くことで、肘の外側に圧迫する力が生じることに加え、腕を弓矢のようにしならせ、ボールをリリースする場面で前腕を回す動作によってズレる力が起こります。
後ろ側のケガ
腕を弓矢のようにしならせる場面で二の腕(上腕三頭筋)が強力に収縮することや、腕を振り下ろす場面で肘が伸びきることで、後ろ側に圧迫されるストレスがかかります。
つまり、肘の痛みは「フォーム以前に、投げすぎと疲労の蓄積」で起こることが多いため、痛みが出た時点で無理に投げさせない判断が重要です。
投球障害肘を引き起こしやすい身体的要因
投球障害肩でお伝えしたことに加え、以下の要因が挙げられます。
投球数の多さ(オーバーユース)
投げすぎにより回復が追いつかず、肘に炎症や損傷が起こります。
過密なスケジュール(休息不足)
週に何度も試合や遠征があったり、休みがなく練習が続くとことで、組織の修復に必要な「回復の時間」が確保できません。成長期はただでさえ身体が作り変わる重要な時期であるため、適切な休息が取れないことは大きなリスクに繋がります。
ご家庭でできる予防チェック
ご家庭でも簡単にできるチェック方法をご紹介します。ぜひ投球障害肩でご紹介した予防チェックと合わせて行ってみましょう。
※1つ当てはまっただけで即受診、というわけではありません。
※痛みが出る場合には無理に行わないでください。
肘の可動域のチェック
肘の曲げ伸ばしを行い、左右差がないか確認します。

前腕(手のひら側)の筋肉の硬さチェック
写真のように手をつき、肘を外側に回しご自身で筋肉の硬さを確認します。(左右の比較)
→筋肉が硬くなるとボールの指へのかかりが悪くなり、肘のケガの前兆になります。

前腕の捻れチェック
前腕を内・外に回し左右差を確認します。

親指と小指の対立チェック
親指と小指をくっつけて一直線になるか確認します。
※人差し指、中指、薬指は曲がらないようにします。
→この動きが上手くできないと、ボールを正しく握ることができず、肘に負担がかかります。

肘の圧痛チェック
肘(内・外・後ろ側)を押して痛みがないか確認します。

これらのチェックで「痛みがある」「左右差が大きい」場合は、無理をせず受診を検討しましょう。
予防のためのコンディショニング
ぜひ投球障害肩でご紹介した予防のためのコンディショニングと合わせて行ってみましょう。
※痛みが出る場合には無理行わないでください。
前腕のストレッチ
左右20秒×2回
写真のように手をつき、前腕(手のひら側)の筋肉を伸ばします。

腕のセルフマッサージ(前腕の捻れの修正)
左右20秒×2回
外側から骨(橈骨)をつかみ、前腕を外に回します。

前腕のエクササイズ
10回×3セット
前腕を台に乗せて、ボール(スポンジなどでも代用可能)を握り、ボールを軽く潰します。(薬指・小指、人差し指・小指に2パターンで行います。)
(過度に手首を曲げたり、反らないように注意します)

まとめ
成長期はケガが起こりやすい時期です。
でも、正しい知識と早めの対応があれば、野球は続けられます。
以下の事を、頭の片隅にいれて置く事で、ケガのリスクを減らすことができます。
- 痛みが出たら、まず投げない
- 翌日も痛ければ受診
- 伸びない・押すと痛い・投げなくても痛い → 迷わず相談
- 普段から投げすぎと休養を意識する
お子さまの未来を守るために、今日できることから始めていきましょう。

執筆者:中島 惇
Astushi Nakashima
至学館大学健康科学部健康スポーツ学科卒業
日本鍼灸理療専門学校本科卒業
花田学園AT専攻科修了合学科卒業
鍼師・灸師・按摩マッサージ指圧師

